Temukan Semua Informasi tentang Gigi Dan Mulut
Articles

Bleaching Gigi Cara Cepat Memutihkan
Senyum cerah dengan gigi putih bisa meningkatkan rasa percaya diri. Namun, seiring waktu, gigi bisa berubah warna karena makanan

Menghilangkan Karang Gigi dengan Aman
Pernahkah kamu merasa gigi terasa kasar meski sudah rajin sikat gigi? Itu tandanya ada karang gigi yang menempel. Karang gigi tidak bisa

Mengapa Kontrol Rutin ke Dokter Gigi
Banyak orang hanya datang ke dokter gigi saat sakit gigi sudah parah. Padahal, kunjungan rutin ke dokter gigijustru bisa membantu mencegah

Pertolongan Pertama Jika Bracket Gigimu
Memakai behel atau kawat gigi memang membantu merapikan susunan gigi, tapi ada kalanya bracket bisa lepas.

Pilihan Obat Sakit Gigi Untuk Ibu Hamil
Sakit gigi saat hamil memang sangat mengganggu. Namun, penggunaan obat tidak bisa sembarangan karena beberapa kandungan

12 Penyebab Sakit Gigi Yang Sering
Sakit gigi termasuk salah satu masalah kesehatan yang sering dialami banyak orang. Rasa nyeri yang muncul bisa ringan

Rajin Sikat Gigi, Mengapa Gigi Anak
Banyak orang tua sudah mengajarkan anaknya untuk rajin sikat gigi sejak dini. Namun, ada kalanya meski sudah dibiasakan

Gigi Sensitif Penyebab Rasa Ngilu
Pernahkah Anda merasakan ngilu saat minum es, makan makanan manis, atau bahkan saat menyikat gigi? Kondisi tersebut

Behel Gigi Bandung Solusi Merapikan
Memiliki gigi yang rapi dan senyum indah tentu menjadi dambaan banyak orang. Salah satu cara paling populer untuk mendapatkan gigi

Implan Gigi Bandung: Solusi Tepat
Kehilangan gigi bisa memengaruhi penampilan, cara berbicara, bahkan kualitas mengunyah makanan. Untungnya, kini ada solusi

Klinik Gigi Solusi Tepat Untuk Senyum
Kesehatan gigi dan mulut merupakan bagian penting dari kesehatan tubuh secara keseluruhan. Sayangnya, banyak orang

Risiko Kebiasaan Menggertakan Gigi
Kebiasaan menggertakan atau menggesekkan gigi (bruxism) sering kali tidak disadari, terutama saat tidur. Meski terlihat sepele

Cek Faktanya: Efek Minum Kopi
Bagi banyak orang, kopi dan teh sudah menjadi bagian dari rutinitas sehari-hari. Namun, di balik kenikmatannya

Dampak Merokok Pada Kesehatan Gigi
Merokok bukan hanya berdampak buruk pada paru-paru dan jantung, tetapi juga memberi pengaruh besar terhadap kesehatan gigi dan mulut.

Gigi Cerah Dan Prosedur Lebih Cepat
Senyum yang indah dan gigi yang cerah bisa meningkatkan rasa percaya diri dalam setiap kesempatan. Salah satu cara

Crown Patah Dan Lepas? Jangan Khawatir
Mahkota gigi (dental crown) merupakan salah satu perawatan gigi yang berfungsi melindungi gigi yang rapuh, rusak

Karang Gigi Hanya Rontok Dengan Alat Ini
Banyak orang mengira karang gigi bisa hilang hanya dengan sikat gigi rutin. Faktanya, karang gigi tidak bisa rontok sendiri dan tidak bisa

Obat Minum Hanya Dapat Meredakan Sakit
Saat sakit gigi menyerang, banyak orang memilih cara cepat dengan minum obat pereda nyeri. Rasa sakit memang bisa berkurang

Apa Itu Fluoride Untuk Gigi? Simak
Fluoride sering kita dengar dalam produk pasta gigi atau obat kumur. Namun, masih banyak yang belum tahu apa sebenarnya fluoride

Abrasi Gigi Membuat Gigi Menjadi Ngilu
Pernahkah Anda merasakan gigi tiba-tiba ngilu saat minum minuman dingin, panas, atau manis? Bisa jadi itu disebabkan oleh abrasi gigi.

Hal Yang Perlu Diperhatikan Sebelum
Pencabutan gigi bungsu seringkali menjadi solusi ketika gigi geraham ketiga tumbuh miring, menimbulkan nyeri, atau menyebabkan infeksi

Gigi Bungsu Tumbuh Bikin Sakit
Gigi bungsu atau gigi geraham ketiga biasanya tumbuh di usia 17–25 tahun. Tidak jarang, proses pertumbuhannya menimbulkan rasa sakit

Sakit Gigi Berulang Tapi Tak Kunjung
Sakit gigi bisa sangat mengganggu aktivitas sehari-hari. Namun, yang lebih merepotkan adalah ketika rasa sakit gigi muncul berulang kali

Waspadai Masalah Kesehatan Gigi
Masa kehamilan adalah momen penting yang membutuhkan perhatian ekstra, termasuk dalam menjaga kesehatan gigi dan mulut.

Alasan Veneer Gigi Harus Dibongkar
Veneer gigi dikenal sebagai salah satu perawatan estetik untuk membuat senyum tampak lebih indah, putih, dan rapi.

Tumbuh Daging Di Dalam Gigi Berlubang?
Apakah Anda pernah melihat ada seperti daging tumbuh di dalam gigi yang berlubang? Kondisi ini sering membuat kaget karena terlihat

5 Alasan Kenapa Gigi Hilang Harus Diganti
Kehilangan gigi bisa terjadi karena berbagai sebab, seperti gigi berlubang parah, kecelakaan, atau penyakit gusi.

Dokter Gigi Terdekat Perawatan Kesehatan
Menjaga kesehatan gigi dan mulut bukan hanya soal penampilan, tapi juga menyangkut kesehatan tubuh secara keseluruhan.

5 Pantangan Yang Wajib Dihindari Setelah
Cabut gigi adalah prosedur medis yang membutuhkan waktu pemulihan agar luka cepat sembuh dan tidak menimbulkan komplikasi.

Hal Yang Harus Diperhatikan Setelah
Penambalan gigi adalah prosedur umum untuk mengembalikan fungsi dan bentuk gigi yang berlubang atau rusak.

Setelah Cabut Gigi, Apakah Boleh
Cabut gigi merupakan prosedur yang memerlukan waktu pemulihan agar luka dapat sembuh sempurna. Selama masa penyembuhan

Tambalan Berubah Warna? Simak Cara
Tambalan gigi memang membantu mengembalikan fungsi dan estetika gigi yang rusak. Namun, seiring waktu, sebagian orang mendapati tambalan

Tidak Pakai Retainer Setelah Lepas Behel!
Akhirnya, setelah bertahun-tahun pakai behel (kawat gigi), gigi kamu sudah rapi! Tapi, tunggu dulu... Jangan buru-buru senang

Mengatasi Karang Gigi Yang Mengganggu
Karang gigi atau kalkulus gigi sering kali dianggap sepele, padahal bisa menjadi penyebab utama berbagai masalah mulut

Gigi Berlubang, Ditambal Atau Dicabut?
Gigi berlubang adalah salah satu masalah gigi yang paling umum dialami oleh banyak orang. Sayangnya, banyak yang baru

Waspadai Abses Gigi Penyakit Gigi
Pernah merasakan nyeri berdenyut di sekitar gigi yang makin parah saat mengunyah atau berbaring? Hati-hati, bisa jadi itu abses gigi.

Nyeri Sakit Gigi, Apakah Bisa
Nyeri akibat sakit gigi sering kali membuat aktivitas sehari-hari terganggu. Banyak orang memilih cara cepat dengan langsung minum

Pasang Gigi Palsu Di Tukang Gigi
Banyak orang memilih tukang gigi sebagai alternatif murah untuk memasang gigi palsu. Padahal, tindakan ini sangat berisiko

Simak Bahaya Sisa Akar Gigi
Sisa akar gigi yang tertinggal di dalam gusi sering kali dianggap sepele karena tidak menimbulkan rasa sakit langsung.

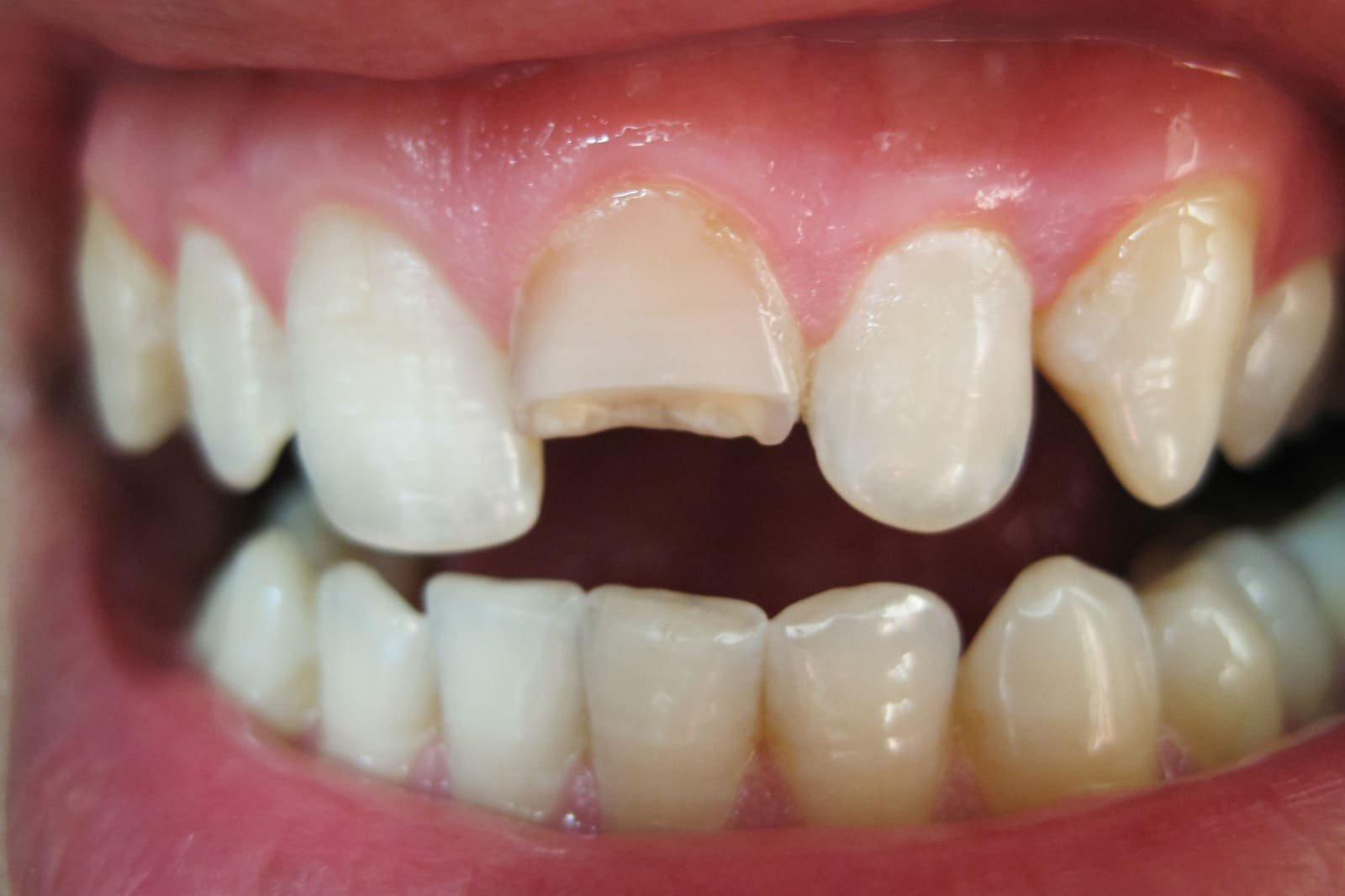
Gigi Patah Setengah, Simak Cara
Mengalami gigi patah setengah bisa menjadi pengalaman yang mengejutkan dan menyakitkan. Kondisi ini bisa terjadi akibat berbagai

6 Cara Meredakan Sakit Gigi Secara Alami
Sakit gigi bisa menyerang kapan saja dan bikin aktivitas sehari-hari jadi terganggu. Rasa nyut-nyutan yang muncul kadang sulit ditahan

Karang Gigi Lepas Sendiri? Pahami
Pernah menemukan potongan keras seperti batu kecil keluar dari mulut saat menyikat gigi atau makan? Bisa jadi itu adalah karang gigi yang lepas

Infeksi Setelah Cabut Gigi Penyebab, Ciri-Ciri
Pencabutan gigi merupakan prosedur umum yang dilakukan saat gigi sudah rusak parah atau menimbulkan masalah kesehatan. Namun, meski umumnya aman,

Memutihkan Gigi Atau Membersihkan Karang
Banyak orang ingin memiliki senyum yang putih dan bersinar. Namun, tidak sedikit yang bingung: lebih baik memutihkan gigi atau membersihkan karang gigi terlebih dahulu?

Sudah Rajin Sikat Gigi Tapi Gigi Masih
Kamu merasa sudah rajin sikat gigi dua kali sehari, tapi kenapa gigi masih saja berlubang?Tenang, kamu tidak sendiri. Banyak orang mengalami hal yang sama,

Gigi Berlubang Apakah Harus Dibor Oleh Dokter
Banyak orang merasa takut saat mendengar kata “bor gigi”. Suara mesin yang berputar cepat sering kali membuat pasien merasa cemas,terutama saat gigi berlubang

Apakah Ibu Hamil Boleh Melakukan Scaling Gigi?
Banyak ibu hamil yang ragu atau takut melakukan perawatan gigi saat hamil, termasuk scaling atau pembersihan karang gigi. Padahal, menjaga kesehatan gigi dan mulut

Sariawan Pada Gusi Bikin Nggak Nyaman!
Sariawan di gusi sering kali membuat kita susah makan, bicara, bahkan menyikat gigi. Meski terlihat sepele, kondisi ini bisa sangat mengganggu aktivitas harian.

Bahaya Pasang Kawat Gigi Sembarangan
Memiliki deretan gigi yang rapi adalah impian banyak orang. Tak heran jika pemakaian kawat gigi (behel) semakin populer, terutama di kalangan remaja dan dewasa muda.

5 Kebiasaan Sehari-Hari Yang Merusak
Tanpa disadari, ada banyak kebiasaan kecil yang sering kita lakukan setiap hari, tetapi ternyata bisa merusak kesehatan gigi dan mulut.

Jangan Takut! Scaling Gigi Itu Nggak Sakit, Kok!
Masih banyak orang yang ragu untuk melakukan scaling gigi karena mengira prosedurnya menyakitkan. Padahal, scaling justru penting untuk menjaga kesehatan gigi dan gusi

Waspada! Ini Tanda-Tanda Gigi Harus
Gigi berlubang sering kali dianggap sepele, apalagi jika belum terasa sakit. Padahal, menunda penanganan bisa memperparah kondisi dan menyebabkan komplikasi serius.

Mulut Terasa Kering? Waspadai Masalah Gigi
Mulut kering atau yang dikenal secara medis sebagai xerostomia, bukan sekadar rasa tidak nyaman. Jika sering terjadi, kondisi ini bisa menjadi gejala awal

Struktur Gigi Anak Tidak Rapi?
Pertumbuhan gigi anak adalah bagian penting dalam tahap tumbuh kembangnya. Namun, tidak semua anak memiliki susunan gigi yang rapi secara alami.

5 tanda gigi harus menggunakan pasta
Apakah Anda pernah merasa ngilu saat minum es atau menyikat gigi? Jangan dianggap sepele. Bisa jadi itu adalah sinyal bahwa gigi Anda mengalami sensitivitas

Jangan Abai! Ini 5 Tanda Seseorang
Polip gigi sering kali dianggap sepele karena tidak selalu menimbulkan rasa sakit di awal. Padahal, kondisi ini bisa menjadi pertanda adanya infeksi serius yang harus segera ditangani.

Gigi Ngilu Saat Makan Atau Minum?
Apakah kamu pernah merasakan ngilu mendadak saat makan atau minum yang dingin, panas, manis, atau asam? Jika iya, bisa jadi itu tanda bahwa kamu mengalami gigi

Bahaya Makan Es Batu, Bisa Buat Gigi Rusak Lho!
Makan es batu memang terasa menyegarkan, apalagi saat cuaca panas. Tapi, tahukah kamu bahwa kebiasaan ini bisa membawa dampak buruk bagi kesehatan gigi?

Implan Gigi Permanen Vs Sementara
Kehilangan gigi dapat memengaruhi penampilan, fungsi mengunyah, hingga kepercayaan diri. Salah satu solusi terbaik untuk mengatasi hal ini adalah dengan implan gigi.

Jika Muncul Tanda-Tanda Ini, Anak
Kesehatan gigi dan mulut anak sering kali diabaikan karena dianggap belum terlalu penting. Padahal, masalah gigi pada anak bisa berdampak jangka panjang

Periksa Gigi Saat Hamil, Apakah aman
Banyak ibu hamil yang ragu atau bahkan takut untuk periksa gigi karena khawatir akan berdampak pada janin. Padahal, justru selama kehamilan, perawatan gigi dan mulut

Rekomendasi Klinik Gigi Terbaik
Kesehatan gigi adalah bagian penting dari kesehatan tubuh secara keseluruhan. Maka dari itu, memilih klinik gigi yang tepat tidak boleh sembarangan.

Klinik Gigi Terdekat Di Bandung
Sedang mencari klinik gigi terdekat yang nyaman, terpercaya, dan lengkap pelayanannya di Kota Bandung? Senyum Keluarga Dental Care di Jalan Karawitan No. 62

Ini Bahaya Membiarkan Gigi Berlubang
Gigi berlubang sering dianggap sepele, apalagi jika belum terasa sakit. Padahal, membiarkan gigi berlubang terlalu lama bisa menimbulkan berbagai masalah

Rekomendasi Obat Sakit Gigi Berlubang
Sakit gigi akibat gigi berlubang bisa sangat mengganggu aktivitas sehari-hari. Rasa nyut-nyutan, ngilu saat makan, hingga nyeri hebat bisa muncul tiba-tiba.

manfaat mengunyah permen karet
Siapa sangka, mengunyah permen karet ternyata punya manfaat luar biasa untuk kesehatan gigi asal yang dikunyah adalah permen karet bebas gula

Apakah Jarang Sikat Gigi Menyebabkan
Kebiasaan buruk ini dapat memicu penumpukan plak, bakteri, dan asam di permukaan gigi yang pada akhirnya merusak lapisan email gigi

Apa Itu Implan Gigi? Panduan Lengkap
Implan gigi adalah solusi modern untuk menggantikan gigi yang hilang. Dibandingkan dengan gigi palsu lepasan atau jembatan gigi, konvensional

6 Hal Yang Harus Diperhatikan Sebelum
Ingin gigi lebih putih dengan bleaching? Sebelum mulai, pastikan kamu memperhatikan hal-hal berikut agar hasilnya aman dan maksimal!

mengenal tambal gigi estetika
Gigi berlubang sering menjadi masalah umum yang mengganggu kenyamanan dan penampilan. Salah satu solusi yang kini banyak dipilih adalah tambal gigi estetika.

berapa lama bleaching gigi bertahan?
Ingin punya senyum yang lebih cerah dan putih? Bleaching gigi adalah salah satu prosedur paling populer untuk memutihkan gigi secara cepat dan efektif.

Makanan Yang Harus Dihindari Usai Tambal
Penambalan gigi merupakan salah satu perawatan gigi yang bertujuan untuk memperbaiki gigi berlubang atau rusak agar kembali berfungsi dengan baik.

Implan Gigi Bandung Terbaik Solusi Gigi
Apakah Anda sedang mencari solusi permanen untuk gigi yang hilang? Implan gigi adalah pilihan terbaik untuk mengembalikan fungsi dan estetika gigi secara optimal.

Peran Orang Tua Untuk Kesehatan Gigi
Kesehatan gigi dan mulut anak merupakan bagian penting dari tumbuh kembang yang optimal. Meski gigi susu bersifat sementara, perawatannya tidak boleh diabaikan.

Efek Buruk Pada Gigi Ketika Kekurangan
Kalsium adalah mineral penting yang berperan besar dalam menjaga kekuatan tulang dan gigi. Sekitar 99% kalsium dalam tubuh manusia tersimpan di tulang dan gigi.

Apakah Karang Gigi Menyebabkan Gigi
Karang gigi bukan penyebab langsung gigi berlubang, tetapi berperan besar dalam proses terjadinya gigi berlubang. Untuk memahami hubungan keduanya,

Dampak Jika Kita Jarang Sikat Gigi
Menyikat gigi adalah kebiasaan sederhana yang sering dianggap sepele. Padahal, jika kita jarang menyikat gigi, dampaknya bisa sangat serius bagi kesehatan gigi

Penyakit Gigi Pada Balita Kenali Dan Cegah
Masa balita adalah fase penting dalam tumbuh kembang anak, termasuk dalam hal kesehatan gigi dan mulut. Sayangnya, banyak orang tua yang belum menyadari

Klinik Gigi Bandung Untuk Perawatan Gigi
Merawat kesehatan gigi bukan hanya soal penampilan, tapi juga tentang kenyamanan, kepercayaan diri, dan kualitas hidup.Di Senyum Keluarga Dental Care, kami percaya

Kenapa Gigi Bungsu Bikin Sakit?
Gigi bungsu, atau yang dikenal juga dengan sebutan gigi geraham ketiga, sering kali menjadi sumber keluhan nyeri di bagian belakang mulut. Umumnya tumbuh di usia 17 hingga

Dampak Gigi Yang Tidak Pernah Scaling
Scaling gigi adalah prosedur pembersihan karang gigi (tartar) yang menumpuk di atas dan bawah garis gusi. Meskipun sering dianggap sepele scaling sebenarnya sangat

Apa Yang Dimaksud Dengan Gigi Impaksi?
Pernahkah Anda merasakan nyeri di bagian belakang mulut yang datang tiba-tiba dan membuat sulit makan atau membuka mulut lebar-lebar? Salah satu penyebab keluhan

kalau memakai behel, sikat giginya gimana?
Memakai behel atau kawat gigi adalah salah satu cara untuk merapikan susunan gigi agar senyum tampak lebih rapi dan sehat. Namun, saat mulai menggunakan behel,

Manfaat Scaling Secara Rutin
Pernah dengar tentang scaling gigi? Buat kamu yang belum tahu, scaling adalah prosedur pembersihan gigi dari plak dan karang gigi menggunakan alat khusus di klinik

kenapa harus ke dokter gigi setiap 6 bulan
Pernah mikir, “Gigi kan nggak sakit, ngapain repot-repot ke dokter gigi?” Nah, justru itu kesalahan yang sering banget dilakukan banyak orang. Padahal, periksa ke dokter gigi

Bagaimanakah Yang Dimaksud Gigi Sehat?
Pernah nggak sih kamu bertanya-tanya, "Sebenarnya gigi yang sehat itu kayak gimana, ya?" Apakah cuma soal gigi yang putih dan rapi aja? Jawabannya: nggak sesimpel itu!

Apa Aja Sih Penyebab Karang Gigi?
Pernah ngerasa gigi terasa kasar walau udah rajin sikat gigi? Bisa jadi itu tandanya kamu punya karang gigi! Karang gigi atau dalam istilah medis disebut kalkulus gigi

ini risiko apabila mencabut gigi tapi tidak
Mencabut gigi sering kali menjadi solusi untuk gigi yang rusak parah atau mengalami infeksi. Namun, banyak orang tidak sadar bahwa setelah pencabutan gigi, sebaiknya

Simpel Tips Merawat Gigi Sensitif
Gigi sensitif bisa membuat aktivitas sehari-hari menjadi kurang nyaman, terutama saat makan atau minum yang panas, dingin, atau manis. Namun, dengan perawatan

Stop Lakukan Kebiasaan Ini Jika Memiliki
Gigi sensitif bisa sangat mengganggu, terutama saat makan atau minum sesuatu yang panas, dingin, manis, atau asam. Sensasi ngilu yang tiba-tiba muncul

Cegah Sakit Gigi, Periksa Ke Dokter Minimal
Sakit gigi merupakan salah satu masalah kesehatan yang paling sering dialami banyak orang. Rasa sakit yang muncul bisa sangat mengganggu,

Ciri-Ciri Gigi yang Sehat dan Pengaruhnya
Kesehatan gigi sering kali dianggap sepele, padahal memiliki peran yang sangat penting terhadap kesehatan tubuh secara keseluruhan. Gigi yang sehat bukan hanya mendukung

Sudah Rajin Sikat Gigi Tapi Gigi Kok Masih
Banyak orang merasa sudah cukup merawat gigi dengan menyikat dua kali sehari, pagi dan malam. Tapi, saat bercermin… kok warna gigi masih kuning ya? Apakah ada yang salah?

Kenapa Gigi Berlubang Harus Ditambal?
Gigi berlubang mungkin sering dianggap sepele, apalagi kalau belum terasa sakit. Tapi tahukah kamu? Gigi berlubang yang dibiarkan tanpa perawatan bisa menimbulkan

Kenapa Tidak Dianjurkan Berkumur
Kebiasaan menyikat gigi dua kali sehari sudah menjadi rutinitas bagi banyak orang untuk menjaga kesehatan mulut. Namun, masih banyak yang belum mengetahui

mengapa penting untuk pergi ke dokter gigi?
Banyak orang hanya pergi ke dokter gigi saat giginya sakit. Padahal, menjaga kesehatan gigi dan mulut sebaiknya dilakukan secara preventif bukan hanya saat sudah bermasalah.

Masalah Gigi Dan Mulut Yang Sering
Merawat gigi anak sejak dini sangat penting untuk mencegah berbagai masalah kesehatan mulut. Namun, tetap saja, beberapa masalah umum masih sering dijumpai pada anak

apa itu persistensi gigi?
Persistensi gigi adalah kondisi di mana gigi susu tidak tanggal pada waktunya, meskipun gigi tetap penggantinya sudah mulai tumbuh. Akibatnya, gigi susu dan gigi tetap bisa tumbuh bersamaan

Perawatan Gusi Yang Dapat Dilakukan
Menjaga kesehatan gusi sama pentingnya dengan merawat gigi. Gusi yang sehat membantu menjaga kestabilan gigi dan mencegah berbagai penyakit seperti radang gusi

Mengenal Impaksi Gigi Bungsu
Impaksi gigi bungsu adalah kondisi di mana gigi bungsu (gigi molar ketiga) gagal untuk tumbuh atau tumbuh dengan posisi yang tidak normal di dalam rongga mulut.

Pentingnya Untuk Mengunyah
Mengunyah menggunakan kedua sisi rahang pada saat yang bersamaan sangat penting untuk kesehatan gigi, mulut, dan bahkan kesehatan secara keseluruhan.

Bagaimana sih ciri- ciri lidah yang sehat itu ?
Lidah yang sehat memiliki beberapa ciri khas yang bisa menjadi indikator kondisi kesehatan mulut dan tubuh secara umum. Berikut adalah beberapa ciri lidah yang sehat

mitos vs fakta seputar gigi dan mulut
Berikut adalah beberapa mitos dan fakta seputar gigi dan mulut yang sering beredar di masyarakat:

bahaya karang gigi yang tidak dibersihkan
Karang gigi, atau dalam istilah medis dikenal dengan sebutan tartar, adalah lapisan keras yang terbentuk akibat penumpukan plak pada gigi yang tidak dibersihkan secara teratur.

penyebab gigi keropos di usia muda
Gigi keropos atau gigi berlubang bukan hanya masalah yang sering terjadi pada orang yang lebih tua. Belakangan ini, banyak orang muda yang juga mengalami masalah gigi

pentingnya dental care untuk kesehatan
Kesehatan gigi dan mulut merupakan bagian penting dari kesehatan secara keseluruhan. Perawatan gigi yang baik tidak hanya membantu menjaga kebersihan mulut

Kondisi Gigi Susu Harus Dicabut
Gigi susu umumnya akan tanggal sendiri seiring pertumbuhan anak. Namun, ada beberapa kondisi di mana gigi susu perlu dicabut oleh dokter gigi, antara lain:

Tahukah Kamu? Menyikat Gigi Terlalu
Banyak orang berpikir bahwa semakin keras menyikat gigi, maka gigi akan semakin bersih. Padahal, anggapan ini keliru! Menyikat gigi terlalu keras justru dapat menimbulkan

Pencabutan dan Penanganan Gigi
Gigi bungsu atau dikenal juga sebagai gigi geraham ketiga biasanya tumbuh di usia 17-25 tahun. Sayangnya, tidak semua gigi bungsu tumbuh

Cara Memutihkan Gigi Kuning yang
Gigi kuning bisa membuat rasa percaya diri menurun, apalagi saat berbicara atau tersenyum.Banyak faktor yang menyebabkan gigi

Ketahui Penyebab Gigimu Berlubang
Gigi berlubang adalah salah satu masalah kesehatan gigi yang paling sering dialami oleh banyak orang, dari anak-anak hingga dewasa.

Kapan sebaiknya di lakukan
Pada usia ini, gigi permanen umumnya sudah tumbuh semua, dan tulang rahang masih dalam masa pertumbuhan sehingga lebih mudah

Cara Merawat Gigi Berlubang
Ingat! Gigi berlubang yang dibiarkan tanpa perawatan bisa berkembang menjadi infeksi serius, bahkan berisiko merusak gigi permanen lainnya.

Dampak Buruk Menyepelekan
Kesehatan gigi sering kali dianggap sepele, padahal kondisi gigi yang buruk dapat mempengaruhi kesehatan tubuh secara keseluruhan.
.jpeg)
Memahami Pentingnya Air Putih untuk
Kesehatan gigi bukan hanya bergantung pada perawatan gigi yang rutin, tetapi juga pada kebiasaan
.jpeg)
Alasan Mengapa Senyum Keluarga Dental
Senyum Keluarga Dental Care adalah pilihan utama bagi mereka yang mencari perawatan gigi berkualitas tinggi di Bandung.

Pentingnya Menjaga Kesehatan Gigi
Kesehatan gigi dan mulut sering kali diabaikan meskipun peranannya sangat vital dalam kehidupan sehari-hari. Gigi yang sehat tidak hanya berfungsi untuk mengunyah
.jpeg)
Pentingnya Scaling Gigi untuk Kesehatan Gigi
Scaling gigi atau pembersihan karang gigi adalah prosedur yang penting untuk menjaga kesehatan gigi dan mulut. Meskipun banyak orang menganggapnya

Kurang Nyaman Akibat Karang Gigi Menumpuk?
Karang gigi adalah masalah umum yang sering dianggap sepele, padahal bisa menimbulkan rasa tidak nyaman dan masalah kesehatan yang lebih serius.

Mau Periksa Gigi Tapi Takut Mahal?
Kesehatan gigi dan mulut adalah bagian penting dari kesehatan tubuh secara keseluruhan. Gigi yang sehat dan kuat memungkinkan kita makan dengan nyaman

Gigi Kamu Bertumpuk? Insecure?
Memiliki gigi yang bertumpuk bisa menjadi masalah yang cukup mengganggu. Selain mengganggu penampilan, gigi yang bertumpuk juga bisa membuat kita merasa tidak percaya diri.
Artikel Tidak Ditemukan
Artikel Tidak Ditemukan
Artikel Tidak Ditemukan
Artikel Tidak Ditemukan

Kurang Nyaman Akibat Karang Gigi Menumpuk?
Karang gigi adalah masalah umum yang sering dianggap sepele, padahal bisa menimbulkan rasa tidak nyaman dan masalah kesehatan yang lebih serius.

Mau Periksa Gigi Tapi Takut Mahal?
Kesehatan gigi dan mulut adalah bagian penting dari kesehatan tubuh secara keseluruhan. Gigi yang sehat dan kuat memungkinkan kita makan dengan nyaman

Gigi Kamu Bertumpuk? Insecure?
Memiliki gigi yang bertumpuk bisa menjadi masalah yang cukup mengganggu. Selain mengganggu penampilan, gigi yang bertumpuk juga bisa membuat kita merasa tidak percaya diri.